
相信很多人都会对彩超非常好奇。每次拿着申请单,排队进入检查室,被要求躺在检查床上,随后超声医师将一个像扫描仪一样的探头在你需要检查部位探来探去,检查结束数分钟后,超声医师会出具带黑白图片或彩色图片的检查报告单给您。

很多人会就此产生疑问:我做的是彩超检查,为什么拿到的检查单看着还像是黑白的?事实上,彩超虽然姓“彩”,但并非像彩色电视机一样进行实时全彩色的呈现。彩超的全名是彩色多普勒超声,彩超是在B超的基础上增加了彩色多普勒技术,B超是超声的基础显影,是辉度成像,出现的图像接近于黑白色,辉度的英文brightness的字头是B ,临床简称B超,过去超声的确是B超,就像黑白电视机一样,随着技术发展目前各医疗机构都是彩色超声,就像家家都是彩色电视机一样。彩超在B超的技术上增加了血流图,对运动的脏器或红细胞的反射(散射)波频信号进行彩色编码和检测处理,以红色表示朝向探头运动,蓝色表示背离探头运动,然后叠加到B型超声图像上,获得彩色超声。

B超显示脏器及结节的形态和内部结构,而彩超则可以检测出这些器官的血流灌注情况,可以更好的帮助检测各器官是否存在病变及病变的良恶性。
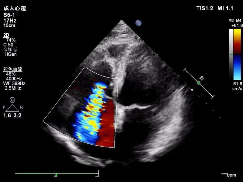
彩超能快速直观显示血流的二维平面分布状态、血流的运行方向、时相、速度、性质等,在血管方面可辨别动脉和静脉,识别血管病变。在心脏方面可明确心脏瓣膜是否狭窄及关闭不全,是否存在异常的分流信号。
很多血管类疾病的早期检测是无法通过问诊和B超来检测出的,就像平静的湖面无法判断它的流向。而彩超的血管流向图,大大弥补了这一医学检测缺憾。同时,彩超的主要技术指标也远远大于B超,能帮助检测出更细小的病变,同时根据血流信号的分别可初步判断病变的严重程度,提高诊断率。

彩超有助于哪些部位早期病变的检测
包括心脏、血管、肝脏、胆囊、胰腺、脾脏、肾脏、输尿管、膀胱、子宫、卵巢、前列腺、甲状腺、乳腺等在内的人体器官,彩超可检测出早期病变。因此,在日常体检中,彩超检查显着尤其重要,成为必不可缺的一项检查。
超声科简介.
